猫の心疾患
猫の心疾患の多くは肥大型心筋症です。その他、拘束型や拡張型と呼ばれる心筋症も存在します。稀ですが先天性の心疾患(心房中隔欠損症など)が認められるケースもあります。
心臓には、全身に血液を介して酸素を送るポンプの役割があるので、心疾患を患うと慢性的な酸欠状態となり、疲れやすくなります(運動不耐性)。具体的な例として、遊んでいてもすぐやめてしまう、激しい運動後に口を開けて呼吸をする、などがあげられます。
ただし、心疾患の猫でこれらの運動不耐性の症状が出ることは稀で、日常の様子から心疾患を予測することは非常に困難です。昨日まで元気だった子が突然倒れてしまうこともあるので、早期発見が重要です。



肥大型心筋症とは
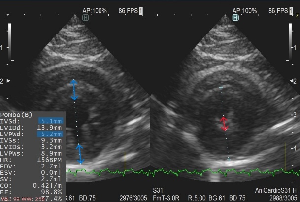
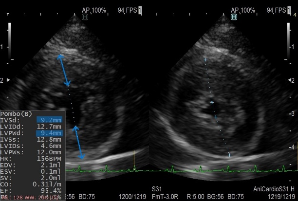
肥大型心筋症は、左心室の筋肉が過剰に分厚くなってしまい、心臓がうまく動けなくなってしまう病気です。原因のほとんどは遺伝であり、アメリカン・ショートヘアやメイン・クーンで多いといわれていますが、すべての猫で発症する可能性があります。発症の年齢も若齢から高齢まで様々です。
心筋が肥大して左心室の内径が極端に狭くなることで、左心房に血液が渋滞し、血栓を形成することがあります。この血栓が、後ろ足の付け根の動脈に詰まることがありますが、多くは何の前触れもなく発症します(動脈血栓塞栓症)。突然、後ろ足に麻痺を伴う激痛が走り、そのまま突然死となってしまうこともあります。
また、血液の渋滞によって肺に水が溜まる肺水腫や、肺の外に水が溜まる胸水症を伴っていることも多く、呼吸困難に陥ってしまいます。
心疾患の食事療法
肥大型心筋症の治療は、アメリカ獣医内科学会(ACVIM)が提唱している重症度のステージ分類に沿って行われることが多いです。
ステージA:心筋症はないが、遺伝的素因がある(メイン・クーンなど)
ステージB1:心筋症だが左心房の拡大がない、または軽度で症状もない
ステージB2:心筋症で左心房に拡大がみられる(中~重度)が症状はない
ステージC:現在または、過去にうっ血性心不全や大動脈血栓塞栓症を発症している
ステージD:難治性のうっ血性心不全
このガイドラインによると、初期の段階(ステージB1まで)の肥大型心筋症では、治療は必要ないとされています。食事に関しても、好きなものをよく食べて、バランスよく栄養を取ることが大事です。太りすぎも痩せすぎもよくないので、体重管理には注意しましょう。
ステージC以降では、タウリンというアミノ酸が不足していないかを血液検査で確認し、必要に応じ補給するべきとされています。犬と違い、猫はタウリンを体内で合成することができないので、食事からの摂取が必須です。体内のタウリンの欠乏によって拡張型心筋症が引き起こされることがわかっています。そのため、ほとんどのキャットフードにはタウリンが含まれるようになり、猫の拡張型心筋症の発症は稀となっています。
また、塩分(特にナトリウム)の制限についても言及されています。体内のナトリウム濃度が上昇すると、浸透圧の関係で循環血液量が増えます。心臓に流れる血液量が増えるとそれだけ心臓への負担が増えるため、塩分の多い食事は避けるべきです。ただし、末期(ステージD)の心筋症で、摂取できる栄養よりも病気によって消費されるカロリーのほうが多い状態(悪液質)では、ナトリウム制限よりもカロリー摂取を優先すべきとされています。
おわりに
猫の心疾患は症状が出るころにはかなり進行していることが多いため、日ごろから健康診断などで状態を把握しておくことが重要です。日常の様子や食事の内容、必要な検査など気になることがあればすぐにかかりつけの獣医師へと相談してみてください。
[参考文献]
Luis Fuentes, Virginia, et al. “ACVIM consensus statement guidelines for the classification, diagnosis, and management of cardiomyopathies in cats.” Journal of veterinary internal medicine 34.3, 2020.
【執筆者】
菅田沙貴(すげた・さき)
獣医師。北里大学獣医学部獣医学科卒業。王禅寺ペットクリニック勤務。日本獣医腎泌尿器学会所属。ペットと飼い主に寄り添い、幸せな毎日を送る手助けができるように、日々診療に臨む。共著に『犬のヘルスケア入門』(緑書房、2025年)。
「いきもののわ」では、ペットや動物園・水族館、野生動物、動物関連イベントなど、いきものにまつわる様々な情報をお届け中!
メールマガジンでは、特集記事の紹介や次月特集の一部をチョイ見せ!
登録はこちらのフォームから。ぜひご登録ください!
各種SNSも随時更新中! ぜひフォローしてください!
