犬の心疾患
犬の心疾患には、先天的なものと後天的なものがあります。
先天的なものでは、動脈管開存症が比較的多いです。その他、心室中隔欠損症や心房中隔欠損症、肺動脈狭窄症などがあります。
後天的なもののほとんどが、僧帽弁閉鎖不全症です。その他、拡張型心筋症や、腫瘍が心臓に発生することもあります。
心臓には、全身に血液を介して酸素を送るポンプの役割があるので、心疾患を患うと血流が悪化して慢性的な酸欠状態となり、初期では疲れやすくなることがあります(運動不耐性)。酸欠がひどくなると、チアノーゼという皮膚や粘膜の色がピンクから紫に変化する現象が起きます。犬の場合は、舌でその変化が分かりやすいです。

僧帽弁閉鎖不全症とは
犬の心疾患の多くが、僧帽弁閉鎖不全症です。遺伝的にチワワやキャバリアで多いですが、他の犬種で発生することもあります。有病率は加齢とともに上昇します。
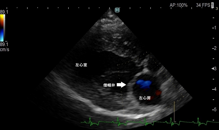
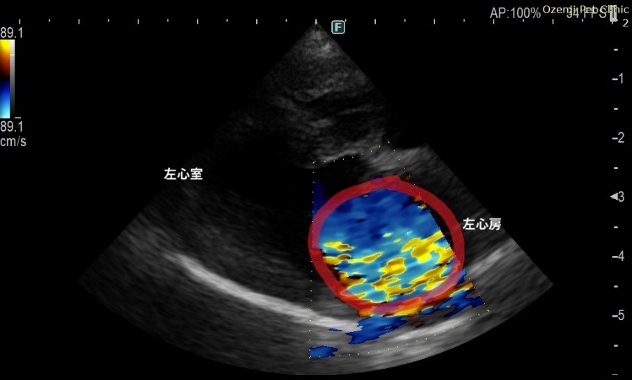
心臓は4つの部屋に分かれていますが、そのうちの左心房と左心室を隔てているのが「僧帽弁」で、血液の逆流を防いでいます。本来薄い僧帽弁の先端が腫れてしまう「粘液腫様変性」と呼ばれる変化が起きると、弁がうまく閉じなくなり、左心房から左心室へ流れるはずの血液の一部が左心房へ逆流します。この僧帽弁逆流は、聴診器で聞き取ることができます。
粘液腫様変性は加齢によって起こるとされていますが、正確な原因は未だ不明です。
逆流によって心臓内で血液が渋滞し、初期では運動不耐性が認められます。進行すると渋滞した血液によって心臓が大きくなり、気管を圧迫して咳が出やすくなります。さらに進行すると、血液が肺から心臓に進めなくなり、肺の中に血液があふれて溺れたような状態に陥ります。これを心原性肺水腫と呼び、命にかかわります。
以前は、内服薬で進行を遅らせることしかできませんでしたが、徐々に手術で完治が目指せるようになってきています。




心疾患の食事療法
僧帽弁閉鎖不全症の治療は、アメリカ獣医内科学会(ACVIM)が提唱している重症度のステージ分類に沿って行われることが多いです。
ステージA:現在心疾患はないが、遺伝的素因がある(チワワやキャバリアなど)
ステージB1:僧帽弁逆流はあるが、心拡大はない
ステージB2:僧帽弁逆流があり、心拡大がみられる
ステージC:現在または、過去にうっ血性心不全を発症している
ステージD:標準治療に反応しない難治性のうっ血性心不全
このガイドラインによると、ステージB1までの初期の僧帽弁閉鎖不全症に対する治療は推奨されておらず、食事も市販の総合栄養食で十分です。太りすぎも痩せすぎも心臓に悪影響を与えるので、体重管理には気を付けましょう。
ステージB2からは、治療や食事管理が必要です。ナトリウムを取りすぎると、浸透圧の関係で体がむくんで心臓に負担がかかるので、塩分は控えめにします。また、体力や体調を維持するために、十分なタンパク質とカロリーを含んだ、その子が好きな食事を与えるようにしましょう。心疾患が原因で、摂取できる栄養よりも病気によって消費されるカロリーのほうが多い状態を「心臓悪液質」と呼びます。悪液質に陥ると余命が短くなるので、しっかりとカロリーを摂取して体重を維持することが重要です。
ステージC~Dでは、より厳密な食事制限が求められます。ステージB2同様、過剰なナトリウムの摂取は控えるべきです。加工食品や塩分の多い食事は避けましょう。
ステージC以降は食欲が低下している場合も多いので、食事を温めたり、ふやかしたり、ドライフードだけでなくウェットフードなどをトッピングしたり、初めて食べる物を試してみたりなど、工夫して食べさせなければならないこともあります。筋肉量を維持するために、たんぱく質も摂取することが推奨されています。ただし、慢性腎臓病を併発している場合は、タンパク質の過剰な摂取は控えることもあります。
おわりに
犬の心疾患は、すべての診察でほぼ必ず行う聴診で比較的簡単に検出できる病気です。ワクチン接種やお手入れなど、病気以外の診察で見つかることもよくあります。早期に発見できれば内服薬などで重症化を防ぎつつ、今まで通りの生活を送れることも多いので、心雑音を指摘されたら積極的に心臓の検査を受けることをおすすめします。
食事療法に関しては、心疾患以外の病気との兼ね合いで複雑になる場合もあるので、かかりつけの獣医師に気軽に相談してみてください。
[参考文献]
BW Keene, et al. “ACVIM consensus guidelines for the diagnosis and treatment of myxomatous mitral valve disease in dogs.” J Vet Intern Med, 2019.
【執筆者】
菅田沙貴(すげた・さき)
獣医師。北里大学獣医学部獣医学科卒業。王禅寺ペットクリニック勤務。日本獣医腎泌尿器学会所属。ペットと飼い主に寄り添い、幸せな毎日を送る手助けができるように、日々診療に臨む。共著に『犬のヘルスケア入門』(緑書房、2025年)。
「いきもののわ」では、ペットや動物園・水族館、野生動物、動物関連イベントなど、いきものにまつわる様々な情報をお届け中!
メールマガジンでは、特集記事の紹介や次月特集の一部をチョイ見せ!
登録はこちらのフォームから。ぜひご登録ください!
各種SNSも随時更新中! ぜひフォローしてください!
