犬を健康診断のために動物病院に連れて行くと、血液検査をする機会が多いと思います。健康診断の血液検査の項目のなかには、”ALT”や”ALP”といった肝酵素値が必ず含まれており、元気で食欲もあるのに「肝酵素値が高い」と獣医師から指摘されることは少なくありません。
人間では、お酒や食生活などの生活習慣や体質によって、肝酵素値が上昇していることがあります。犬でも人間と同様に、生活習慣や体質(過剰なおやつやサプリメントなどの給餌、肥満や高脂血症など)により肝酵素値が上昇することもありますが、もしかすると「慢性肝炎」が潜んでいるかもしれません。

慢性肝炎とは?
慢性肝炎に罹患した犬では、初期段階で肝酵素値がわずかに上昇していますが、症状がまったくありません。なぜなら、肝臓は予備能力の高い臓器であるため、ある程度肝臓に炎症があってもすぐに再生し、その能力を保つことができます。しかし、持続的(慢性的)に炎症が続いてしまうと肝臓の予備能力は限界を超え、「肝機能不全」へと進行してしまいます。
肝機能不全になると、腹水や黄疸(おうだん)、さらにアンモニアなどの毒素が肝臓で解毒できなくなり、「肝性脳症(吐き気、よだれ、異常行動、発作など)」が認められるようになります。したがって、健康診断で「肝酵素値が高い」と獣医師に指摘された場合には、定期検診が推奨されています。また、肥満や高脂血症の犬では低脂肪食などへの食事の変更、さらに肝臓を保護する薬(多くの動物病院では、肝庇護剤としてウルソデオキシコール酸が処方されます)の投与も実施されます。しかし、それでも肝酵素値が下がらないのであれば、慢性肝炎を疑う必要があります。
銅が原因かも!
慢性肝炎は犬の肝臓病のなかで最も一般的ですが、その発生の多くは原因不明です。しかし、慢性肝炎の3割程度は銅が関与していることがわかっています。
銅は身体のはたらきに必要な必須微量元素であり、食事や飲水により取り込まれた銅は消化管から吸収され、肝臓に運ばれます。肝臓は、銅の貯蔵や血液中への銅の輸送に関わっており、余分な銅は胆汁中に排せつされています。しかし、何らかの理由により銅を胆汁として排せつできなくなると、肝臓中に銅が蓄積されてしまいます。蓄積された銅は肝細胞に傷害を与え、壊れた肝細胞を処理するために炎症が持続します(慢性炎症)。時間経過とともに、慢性炎症の部位が線維に置き換わって肝臓が硬くなり(線維化)、最終的には「肝硬変」へと進行してしまいます。
肝硬変になると、肝細胞の数の減少と能力の低下によってさらに銅の胆汁排せつは低下し、肝障害が進行してしまいます。
生まれつき、肝臓からの銅の排せつが弱い犬種が知られています。ベトリントン・テリア、ドーベルマン・ピンシャー、ラブラドール・レトリーバー、キャバリア・チャールズ・キング・スパニエルなどの犬種は、銅排せつに関与する遺伝子の変異がわかっています。そのほかにも、以前からダルメシアン、ウエスト・ハイランド・ホワイト・テリアなども、銅が関連した慢性肝炎を発症しやすい犬種(好発犬種)として報告されています。なお、好発犬種以外でも肝臓組織中の銅濃度が上昇していることが報告されているため、好発犬種以外も注意が必要です。

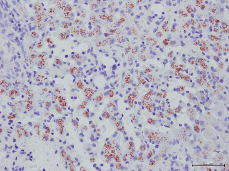
肝生検が必要!
慢性肝炎の診断には、肝臓の組織を採取する「肝生検」が必要となります。採取した肝臓は病理検査に提出し、肝臓における炎症や線維化の程度を評価することに加えて、銅染色により銅の蓄積の程度を評価します。また、肝生検で採取した一部を用いて、肝臓組織中銅濃度を測定することが推奨されています。
しかし、肝生検はどうしても全身麻酔が必要であり、肝臓の組織を採取するため出血などのリスクが存在します。そのため、肝酵素値が持続的に高くても、症状のない犬の飼い主は肝生検をためらうかもしれません。一方、黄疸や腹水などの症状が出てからの肝生検の実施はリスクがさらに高くなるため、今度は獣医師が肝生検をためらうことになります。
したがって、症状がなくても持続した肝酵素値の上昇が3~6か月以上認められている犬に対しては、肝生検が必要かを専門の獣医師に評価してもらうのがいいでしょう。
なお、私が所属する二次診療施設では、症状の有無に関わらず、腹腔鏡検査による安全かつ低侵襲に肝生検を実施しており、欧米の指針においても腹腔鏡下肝生検が慢性肝炎の診断に推奨されています。




食事療法が治療の要!
動物の体に必要な銅は食事(一部は水)から取り込まれるため、食事の選択は重要となります。日本のドックフードの多くは、米国飼料検査官協会(AAFCO)の基準を満たした総合栄養食です。したがって、銅をはじめとする微量元素の含有量も決められています。しかし、生まれつき肝臓に銅が蓄積しやすい一部の犬種だけではなく、その他の犬種でも肝臓組織中の銅濃度が上昇することが国内外でわかってきており、ドックフードに含まれる銅が肝臓に影響を与えている可能性も考えられています。
そこで、肝生検により慢性肝炎と確定診断された犬で肝臓中に銅が異常に蓄積している場合には、まずは銅を制限した食事(銅制限食)に切り替えることが推奨されます。まずは食事からの銅の供給を抑えるということです。なお、原因に銅が関与していない慢性肝炎の犬でも、肝硬変へ進行すると銅の排せつ障害により銅が蓄積してくるため銅制限食は適用となります。
銅を制限した食事として、「肝臓用療法食」があります。しかし、肝臓用療法食は銅だけではなく、肝性脳症を予防するためにタンパク質も制限されています。肝性脳症は、中期~末期にかけて認められる慢性肝炎の症状であるため、症状がない慢性肝炎の犬では肝臓用療法食のみの食事はタンパク質が少なく、肝臓の再生にはタンパク質も重要なため、最適な食事とはいえません。したがって、肝臓用療法食に鶏肉や卵などのタンパク源をトッピングする必要があります。
一方、銅の蓄積が重度の犬では、銅制限食による食事療法のみでは不十分であるため、体内の銅を結合させて尿として排せつさせる「銅キレート薬」を使用することもあります。また、肝臓の慢性炎症の程度により、「ステロイド」による慢性炎症の抑制が必要となることも少なくありません。これらの薬には副作用があるため、必ず病理検査で肝臓中の銅や炎症の程度を確認してから使用することが推奨されています。

おわりに
症状がなくても、慢性肝炎を患った犬では肝硬変へと進行していきます。健康診断で肝酵素値が上昇している犬には、低脂肪食への食事の切り替えや、ウルソデオキシコール酸の服用が推奨されます。しかし、肝酵素値が上昇し続ける犬では、一度専門の動物病院で精密検査を受けることも重要です。病理検査によって銅が関与している慢性肝炎であると判明すれば、食事療法や銅キレート療法、ステロイド療法を組み合わせて、病気の進行を抑制することも可能であり、犬の「生活の質:QOL」を維持する必要があります。
【執筆者】
坂井 学(さかい・まなぶ)
獣医師、アジア獣医内科学専門医(内科)、博士(獣医学)。日本大学生物資源科学部 獣医消化器病学研究室 教授。日本大学動物病院 消化器内科・一般内科担当。1997年日本大学農獣医学部獣医学科卒業。東京大学農学部附属動物医療センターの外科系研修医を経て、2003年日本大学大学院獣医学研究科にて博士課程修了。同年より同大学において助手、専任講師、准教授を務めるとともに、オランダのユトレヒト大学にて客員研究員として留学。2020年より現職。専門は獣医消化器病学、獣医内科学で、犬と猫の消化器病に関する研究(肝疾患の新規診断および治療、門脈圧亢進症、内視鏡、腹腔鏡など)および診療(臨床)を通じ、学生教育と社会貢献に力を注ぐ。
「いきもののわ」では、ペットや動物園・水族館、野生動物、動物関連イベントなど、いきものにまつわる様々な情報をお届け中!
メールマガジンでは、特集記事の紹介や次月特集の一部をチョイ見せ!
登録はこちらのフォームから。ぜひご登録ください!
各種SNSも随時更新中! ぜひフォローしてください!
